About Dental Health
Most people should visit a dentist at the minimum of twice a year (once every six months). Others with conditions such as gum disease or excessive cavities should be seen more frequently. In order to maintain a healthy smile, it is vital to have professional cleanings and regular check-ups. Your dentist will examine your teeth and provide an evaluation of existing dental problems and proposed treatment. Call the dentist immediately if you are experiencing a dental emergency.
Brushing/Flossing/Diet Control

Brushing
Ideally, we recommend the use of an electric toothbrush. However, if you choose to use a manual toothbrush, use one with soft bristles and a small strip of fluoride toothpaste. When you brush your teeth, move the brush in small circular motions to reach food particles that may be under your gum line. Hold the toothbrush at an angle and brush slowly and carefully, covering all areas between teeth and the surface of each tooth. It will take you several minutes to thoroughly brush your teeth. Brush up on the lower teeth, down on the upper teeth and the outside, inside and chewing surface of all of your front and back teeth. Brush your tongue and the roof of your mouth before you rinse.
Your toothbrush or electric toothbrush head should be replaced every three months or as soon as the bristles start to wear down or fray. Rinse your mouth thoroughly with water after you finish brushing and that can be followed by a dental rinse like Listerine. It is important to carefully brush a minimum of two to three times a day and floss daily.

Flossing
For areas between the teeth that a toothbrush can’t reach, dental floss is used to remove food particles and plaque. Dental floss is a thin thread of waxed nylon that is used to reach below the gum line and clean between teeth. It is very important to floss between your teeth every day.
Pull a length of floss from the dispenser. Wrap the ends of the floss tightly around your fingers. Guide the floss between the front and back of all teeth making sure you reach up and under the gum line pulling out any food particles or plaque. Unwrap clean floss from around your fingers as you go so that you have used the floss from beginning to end when you finish.
Floss at night is optimal to make sure your teeth are clean before you go to bed. When you first begin flossing, your gums may bleed in areas or become sore. If the bleeding does not go away after the first few times, please call our office.

Diet Control
The teeth, bones and soft tissues of the mouth require a healthy, well-balanced diet. A variety of foods from the five food groups help minimize and avoid cavities and other dental problems. Consumption of foods that contain carbohydrates, especially sugars should be decreased. These foods can include candies, cookies, chips, and sugar containing beverages. Healthier foods, such as vegetables, low-fat yogurt and cheeses, help promote stronger teeth.
Tooth Decay Prevention/Sealants/Fluoride

Tooth Decay Prevention
Tooth decay is a progressive disease resulting from the breakdown of the carbohydrates we eat by the bacteria that live inside the plaque in our mouths. Carbohydrates, especially the highly refined carbohydrates know as simple sugars, feed the bacteria inside the plaque causing them to produce acids that break down the minerals that comprise our teeth, forming a cavity. Dentists remove the decay and fill the tooth using a variety of filling materials, restoring the tooth to a healthy state. In some cases, nerve damage can result from severe decay and may require a root canal in order to remove the infected portion of the tooth. Avoiding unnecessary decay requires strict adherence to a dental hygiene regimen: brushing and flossing at least twice a day, regular dental check-ups, diet control and fluoride treatment. Practicing good hygiene helps avoid unhealthy teeth and costly treatment.

Sealants
The deep pits and grooves that form the chewing surfaces of the back teeth are extremely difficult (if not impossible) to clean of all bacteria and food. As the bacteria reacts with the food, acids form and break down the tooth enamel, causing cavities. Recent studies indicate that 88 percent of total cavities in American school children are caused this way.
Tooth sealants protect these susceptible pits and grooves by sealing the heathy tooth structure therefore preventing bacteria and food particles from residing in these areas. Sealant material is a resin typically applied to the back teeth and areas prone to cavities. They generally last for many years but may need to be replaced if they become worn.

Fluoride
Fluoride is a substance that helps teeth become stronger and more resistant to decay. We all know that brushing with a fluoridated and flossing regularly ensures significantly lower cavities. Dentists can evaluate the level of fluoride a patient is generally getting and recommend supplemental fluoride, or similar anti cavity products, as necessary.
Common Dental Problems

Tooth Decay
Gum, or periodontal, disease is a progressive inflammatory process that leads to bleeding gums, bone damage and potentially tooth loss. Gum disease begins with a sticky film of bacteria called plaque. Gums in the early stage of disease, or gingivitis, can bleed easily and become red and swollen. As the disease progresses to periodontitis, bone and soft tissue are lost creating pockets around the teeth that will trap even more infection if not properly treated. Additional indicators of gum disease are consistent bad breath or a bad taste in the mouth. Without treatments such as more frequent cleanings, deep cleanings under the gums or surgery, teeth may be lost. While there is a component of genetic inheritability, gum disease is highly preventable and can usually be avoided by daily brushing and flossing.

Bad Breath (Halitosis)
Daily brushing and flossing help to prevent the build-up of food particles, plaque and bacteria in your mouth. Food particles left in the mouth deteriorate and cause bad breath. While certain foods, such as garlic or anchovies, may create temporary bad breath, consistent bad breath may be a sign of gum disease or another dental problem. Make sure to brush your tongue and the roof of your mouth.

Tooth Sensitivity
Tooth sensitivity is a common problem. Some people can feel discomfort or pain when eating cold or hot foods or brushing and flossing. Sensitive teeth are typically the result of worn tooth enamel or exposed tooth roots. However, tooth discomfort is caused by other factors such as a cavity, a cracked or chipped tooth, or a worn filling. These problems can be cause by gum disease, tooth grinding, over aggressive brushing with an abrasive toothpaste, a highly acidic diet, gastric reflux or bulimia

Mouth Sores
Canker sores (aphthous ulcers) are small sores inside the mouth that often recur. Generally lasting one or two weeks, the duration of canker sores can be reduced by the use of antimicrobial mouthwashes or topical agents. The canker sore has a white or gray base surrounded by a red border.
Cold sores painful blisters caused by the herpes virus and are generally found on the lips. They are highly contagious but can be treated with antiviral medications.

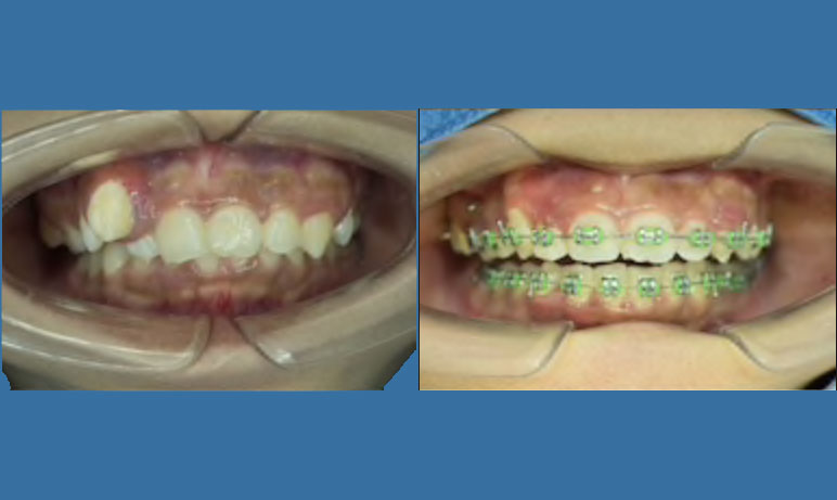
Orthodontic Problems
A bite that does not meet properly (a malocclusion) can be inherited, or some types may be acquired. Some causes of malocclusion include missing or extra teeth, crowded teeth or misaligned jaws. Accidents or developmental issues, such as finger or thumb sucking over an extended period of time, may cause malocclusions.
Dental Emergencies

Toothache
Begin by cleaning around the sore tooth meticulously. Using warm salt water, rinse the mouth to displace any food trapped between teeth. Under no circumstances should you use aspirin on the aching tooth or on the gum. For temporary pain relief, acetaminophen or ibuprofen is recommended. Please contact us for an appointment if the pain persists more than a day.

Knocked Out Permanent Tooth
Recover the tooth, making sure to hold it by the crown (top) and not the root. Do not clean or handle the tooth more than necessary. Place the tooth a cup containing milk preferably or water. Because time is essential, see a dentist immediately.

Broken Tooth
Rinse the area with warm water. Put a cold compress over the facial area of the injury. Recover any broken tooth fragments. Seek immediate dental attention.

Possible Broken Jaw
In the event of jaw injury go immediately to an emergency room.

Cut or Bitten Tongue, Lip or Cheek
Ice can be applied to any bruised areas. For bleeding, apply firm (but gentle) pressure with sterile gauze or a clean cloth. If the bleeding does not stop with pressure or continues after 15 minutes, go to an emergency room.

Bleeding After a Baby Tooth Falls Out
Fold a piece of gauze and place it (tightly) over the bleeding area. Bite down on the gauze for 15 minutes. If bleeding continues, see a dentist.

Cold or Canker Sores
Over-the-counter medications will usually provide temporary relief. If sores persist, visit your dentist.
Early Childhood Dental Care

A Child’s First Dental Visit
A child’s first dental visit should be scheduled around his/her first birthday. The most important part of the visit is getting to know and becoming comfortable with the dentist and staff. A pleasant, comfortable first visit builds trust and helps put the child at ease during future dental visits. If possible, allow the child to sit in a parent’s lap in the exam room. Children should be encouraged to discuss any fears or anxiety they feel.

Primary teeth are important
The primary, or “baby,” teeth play a crucial role in dental development. Without them, a child cannot chew food properly and has difficulty speaking clearly. Primary teeth are vital to development of the jaws and for guiding the permanent (secondary) teeth into place when they replace the primary teeth beginning around age 5 or 6. Since primary teeth guide the permanent teeth into place, infants with missing primary teeth or infants who prematurely lose primary teeth may require a space maintainer in order to prevent problems such as crooked or mispositioned teeth. Missing teeth should always be mentioned to your family dentist.
The way your child cares for his/her primary teeth plays a critical role in how he/she treats the permanent teeth. Children and adults are equally susceptible to plaque and gum problems—hence, the need for regular care and dental check-ups.

Infant Tooth Eruption

A child’s teeth actually start forming before birth. As early as 4 months of age, the primary or “baby” teeth push through the gums—the lower central incisors are first, then the upper central incisors. The remainder of the 20 primary teeth typically erupt by age 3, but the place and order vary. Teething is painful. Rubbing sore gums gently with a clean finger, the back of a cold spoon or a cold wet cloth helps soothe the gums. Teething rings work well but avoid teething biscuits—they contain sugar that is not good for baby teeth.
Permanent teeth begin eruption around age 6, starting with the first molars and lower central incisors. This process continues until around age 21. Adults have 28 secondary (permanent) teeth—32 including the third molars (wisdom teeth).

Good Diet and Healthy Teeth
Cavities are caused by the acids that are produced when the bacteria inside the plaque in our mouths consume and metabolize carbohydrates. Especially sugars or simple carbohydrates. The teeth, bones and soft tissue of the mouth require a healthy, well-balanced diet. A variety of foods from the five food groups helps minimize cavities and other dental problems.
Most snacks that children eat cause cavities, so children should receive as many healthy foods like vegetables, low-fat yogurt and cheeses, which promote strong teeth.

Preventing Baby Bottle Tooth Decay
Tooth decay in infants can be minimized or prevented by not allowing sleeping infants to breast or bottle-feed all night. This happens because sugar in the liquid mixes with bacteria in dental plaque, forming acids that attack the tooth enamel. Each time a child drinks liquid containing sugar, acids attack the teeth for about 20 minutes. When awake, saliva carries away the liquid. During sleep, the saliva flow significantly decreases and liquids pool around the child’s teeth for long periods, covering the teeth in acids. Infants that need a bottle to comfortably fall asleep should be given a water-filled bottle. Let us know if you notice any signs of decay or anything unusual in your child’s mouth.